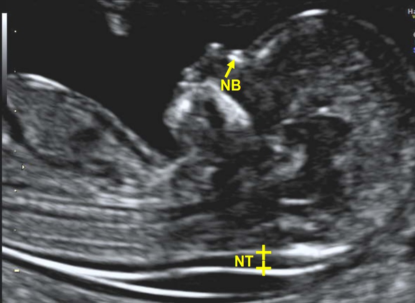
Wat Is Een Nekplooi. Zoals eerder aangehaald is de nekplooi een translucent gebied te zien op echografie die normaal verdwijnt na 14 weken zwangerschap. Toch willen wij het zeker weten. Wat is de nekplooi. Bij een zwangerschapsduur tussen 11 en 14 weken is bij elke foetus een klein schilletje vocht onder de huid in de nek aanwezig.
Als ik jou was zou ik gewoon meer uitleg gaan vragen. Je mag me best een privé berichtje sturen als je wilt dan kunnen we er uitgebreider over praten. Een normale nekplooi heeft idd een max dikte van 3 mm. Bij een zwangerschapsduur tussen 11 en 14 weken is bij elke foetus een klein schilletje vocht onder de huid in de nek aanwezig. De nekplooimeting gebeurt met behulp van een echo die wordt gemaakt in de periode van 112 tot 141 weken zwangerschap. Dat het bij ons babytje maar niet weg ging kon de verloskundige niet verklaren.
De specialist in het radboud ziekenhuis zei dat het echt heel normaal is dat de nekplooi vóór 11 weken en 3 dagen nog dikker kan zijn omdat de lymfe zich dan ontwikkelen.
De specialist in het radboud ziekenhuis zei dat het echt heel normaal is dat de nekplooi vóór 11 weken en 3 dagen nog dikker kan zijn omdat de lymfe zich dan ontwikkelen. Mischien heeft de specialiste een ander reden voor verder onderzoek denk dat je dat best eens kan vragen. In het nekje is dan vaak een beetje vocht aanwezig deze vochtophoping is gewoonlijk niet meer dan 3 mm dik. Zoals eerder aangehaald is de nekplooi een translucent gebied te zien op echografie die normaal verdwijnt na 14 weken zwangerschap. De breedte van dit schilletje wordt gemeten tot op 01 mm nauwkeurig. De nekplooi is een dun vochtlaagje onder de huid in de nek.